> TABOCAS NOTICIAS : Células de leucemia podem se matar umas às outras

.

.


sábado, 31 de outubro de 2015

Células de leucemia podem se matar umas às outras

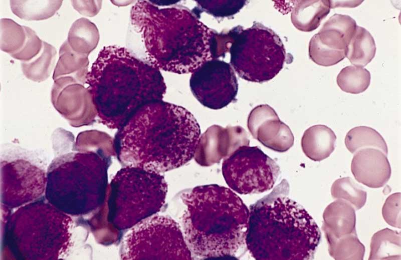
Foto: WikiMediaCommons
No campo da pesquisa da cura ao câncer, transformar células malignas em benignas é uma das grandes chaves, uma espécie de Santo Graal da medicina.

Uma nova pesquisa realizada pelo The Scripps Research Institute, dos EUA, passa justamente por aí: foi descoberto um jeito de converter células cancerígenas em células que não só são menos agressivas ao organismo do paciente, como adquirem a capacidade de matar outras células com leucemia.

O segredo para esse importante achado científico está no tratamento com anticorpos: nos últimos anos, cientistas descobriram que certos anticorpos ativam os receptores de células jovens para que elas se tornassem maduras.

A novidade de agora é que eles descobriram que alguns desses anticorpos também podem transformar essas células imaturas da medula em outros tipos de células encontradas no sistema nervoso.

Na Leucemia Mieloide Aguda (LMA), a medula do paciente produz muitos glóbulos brancos, comprometendo a produção de outras células do sangue.

Os cientistas pegaram uma amostra de sangue com LMA e aplicaram esses anticorpos indutores de crescimento, fazendo com que as células cancerosas se transformassem em células dendríticas, conhecidas pelo seu papel crucial no nossos sistema imunológico, já que identificam e ajudam a combater vírus, bactérias etc.

Em 24 horas, essas “células matadoras de câncer” acabaram com 15% da população de células cancerígenas.

O número impressionou a comunidade científica e chamou atenção o fato de que o ataque ocorreu somente contra células que possuíam a LMA, sendo inofensiva para outros tipos de câncer.

Segundo estimativa do Instituto Nacional de Câncer José Alencar Gomes da Silva (INCA), em 2014 surgiram 11.370 novos casos de leucemia no Brasil, sendo 5.050 homens e 4.320 mulheres. Com informações do Medical News Today e Galileu

Nenhum comentário:

Postar um comentário